Acute Myeloid Leukemia (AML) Chemotherapy Explained

D.Blinkink 47 views
Acute Myeloid Leukemia (AML) Chemotherapy Explained

Acute Myeloid Leukemia (AML) Chemotherapy Explained

Hey everyone! Today, we’re diving deep into a super important topic: chemotherapy for Acute Myeloid Leukemia (AML) . If you or someone you know is facing AML, understanding the treatment options is crucial, and chemotherapy is often a big part of that journey. So, let’s break down what AML chemo is all about, how it works, and what you can expect. We’ll make sure to cover everything in a way that’s easy to grasp, so you feel more empowered and informed.

Understanding Acute Myeloid Leukemia (AML)

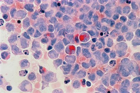
Before we get into the nitty-gritty of chemotherapy for AML , it’s essential to understand what AML actually is, guys. Acute Myeloid Leukemia is a type of cancer that starts in the bone marrow, the soft inner part of certain bones where new blood cells are made. In AML, the bone marrow produces abnormal white blood cells, called myeloblasts or myeloid blasts. These abnormal cells don’t mature properly and can’t fight infection like normal white blood cells. They also multiply rapidly and crowd out the normal blood cells – red blood cells, white blood cells, and platelets. This is why people with AML often experience symptoms like fatigue (due to low red blood cells), frequent infections (due to low normal white blood cells), and bleeding or bruising easily (due to low platelets). The “acute” part means that the leukemia progresses rapidly and needs to be treated right away. It’s a serious diagnosis, but with advancements in treatment, including chemotherapy, many people are successfully managing and even overcoming AML. We’re going to explore how chemotherapy specifically targets these aggressive cancer cells to give patients a fighting chance. It’s all about disrupting the cancer’s growth and eliminating it from the body, giving healthy cells a chance to recover and function properly again. The journey with AML can be tough, but knowledge is power, and understanding the role of chemotherapy is a massive step in navigating this path.

How Chemotherapy Works Against AML

So, how exactly does chemotherapy for AML zap those nasty cancer cells? Think of chemotherapy drugs as highly specialized warriors that target rapidly dividing cells. Cancer cells, including the abnormal myeloid blasts in AML, are characterized by their uncontrolled and rapid multiplication. Chemotherapy drugs work by interfering with this cell division process. They can do this in a few ways: some drugs damage the DNA inside the cancer cells, making it impossible for them to replicate. Others interfere with the cellular machinery that the cells need to divide. It’s a bit like throwing a wrench into the gears of a rapidly spinning machine – the machine grinds to a halt. The key thing to remember is that while chemotherapy is designed to be more effective against fast-growing cancer cells, it can also affect other rapidly dividing cells in your body. This includes cells in your hair follicles, the lining of your mouth and digestive tract, and your bone marrow. That’s why side effects like hair loss, mouth sores, nausea, and a decrease in blood cell counts are common. Doctors use specific drug combinations and dosages, often called regimens, tailored to the type of AML and the individual patient. These regimens are designed to maximize the cancer-killing effect while minimizing harm to healthy cells as much as possible. The goal is to achieve remission, meaning that the signs and symptoms of AML are no longer detectable. It’s a delicate balance, and the medical team is constantly monitoring the patient’s response and adjusting treatment as needed. The effectiveness of chemotherapy is a testament to our understanding of cellular biology and the relentless pursuit of better cancer treatments. It’s a powerful tool in the fight against AML, offering hope and a path towards recovery for many.

Types of Chemotherapy Regimens for AML

When we talk about chemotherapy for AML , it’s not just one-size-fits-all, guys. Doctors use different combinations and schedules of drugs, known as regimens, to tackle AML. These regimens are carefully chosen based on several factors, including the specific subtype of AML, the patient’s age and overall health, and whether this is a first-time diagnosis or a relapse. The primary goal of chemotherapy in AML is to achieve remission. There are generally two main phases of chemotherapy treatment: induction and consolidation.

  • Induction Chemotherapy: This is the first and most intensive phase. The goal here is to rapidly kill as many leukemia cells as possible and bring the disease under control, aiming for remission. Induction therapy usually involves a combination of drugs, often including an anthracycline (like daunorubicin or idarubicin) and a cytarabine-based chemotherapy. These drugs are typically given intravenously (IV). This phase is usually carried out in the hospital because of the intensity of the treatment and the potential for side effects, such as a drop in blood counts, which requires close monitoring and supportive care.
  • Consolidation Chemotherapy (or Intensification): Once remission is achieved, meaning tests show no or very few leukemia cells left, consolidation therapy begins. The purpose of this phase is to kill any remaining leukemia cells that might have survived induction therapy and could potentially cause the leukemia to return. Consolidation therapy often involves further cycles of chemotherapy, which might be similar to induction therapy or use different drugs, often at different doses and schedules. The intensity can vary depending on the risk of relapse. For some patients, consolidation might also involve high-dose chemotherapy followed by a stem cell transplant.

There are also other approaches. For older patients or those with other health issues who might not tolerate intensive induction chemotherapy, lower-intensity regimens, sometimes called hypomethylating agents or targeted therapies, might be used. These aim to control the disease and improve quality of life. The specific drugs used can include drugs like cytarabine, daunorubicin, idarubicin, etoposide, fludarabine, and others, often in combination. The choice of regimen is a critical decision made by the hematologist-oncologist, taking into account the latest research and guidelines. It’s a highly personalized approach, ensuring the treatment is as effective as possible for each unique patient. The combination and timing are key to overwhelming the leukemia cells and preventing them from developing resistance.

Side Effects of AML Chemotherapy

Now, let’s talk about something super important when discussing chemotherapy for AML : the side effects. It’s no secret that chemo can be tough on the body because, as we mentioned, it doesn’t only target cancer cells. It also affects healthy, rapidly dividing cells. Understanding these potential side effects can help patients and their families prepare and know what to expect. The good news is that doctors and nurses are incredibly skilled at managing these side effects, and there are many ways to help alleviate them.

Here are some common side effects:

  • Nausea and Vomiting: This is probably one of the most well-known side effects. Anti-nausea medications (antiemetics) are incredibly effective these days, and doctors will usually prescribe them to be taken before, during, and after chemo treatments. Staying hydrated and eating small, bland meals can also help.
  • Hair Loss (Alopecia): Chemo can cause hair to thin or fall out completely. This can be distressing, but it’s important to remember that hair usually grows back after treatment finishes. Some people opt for wigs, scarves, or hats. Scalp cooling caps are also sometimes used during infusion to try and reduce hair loss.
  • Fatigue: Feeling extremely tired is very common. This isn’t just regular tiredness; it’s a deep exhaustion. Pacing yourself, getting plenty of rest, and light exercise (if approved by your doctor) can help manage fatigue.
  • Mouth Sores (Mucositis): The lining of the mouth and digestive tract can become sore and inflamed. Good oral hygiene is crucial. Gentle brushing, avoiding harsh mouthwashes, and using prescribed mouth rinses can provide relief. Eating soft, non-irritating foods is also recommended.
  • Increased Risk of Infection: Because chemotherapy lowers the count of healthy white blood cells (neutropenia), patients become more vulnerable to infections. Strict hygiene, avoiding crowds and sick people, and monitoring for any signs of infection (like fever) are vital. Doctors may prescribe growth factors to help boost white blood cell counts.
  • Bruising and Bleeding: Chemotherapy can lower the platelet count (thrombocytopenia), making it easier to bruise or bleed. Patients are advised to be careful to avoid injuries and report any unusual bleeding, like nosebleeds or blood in the urine or stool.
  • Diarrhea or Constipation: Changes in bowel habits are common. Doctors can recommend dietary changes or medications to manage these issues.
  • Appetite Changes: Some people experience a loss of appetite, while others might have cravings or changes in taste perception. Eating nutrient-dense foods when you do have an appetite is important.

It’s super important for patients to communicate openly with their healthcare team about any side effects they experience, no matter how minor they may seem. Early intervention can often prevent more serious problems. Remember, managing side effects is a huge part of the treatment process, and your medical team is there to support you every step of the way. They have a whole arsenal of tricks up their sleeves to help you feel as comfortable as possible during your chemotherapy for AML treatment.

Preparing for Chemotherapy

Getting ready for chemotherapy for AML is a significant step, and being well-prepared can make a huge difference in how you feel both physically and emotionally. It’s all about being proactive and gathering the resources you need. Your medical team will guide you through much of this, but here are some key areas to focus on:

  • Understanding Your Treatment Plan: This is number one, guys! Make sure you have a clear understanding of the chemotherapy drugs you’ll be receiving, the schedule, the expected duration, and the goals of treatment (like achieving remission). Don’t hesitate to ask your doctor or nurse any questions you have, no matter how small they seem. Write them down beforehand so you don’t forget!
  • Logistics and Appointments: Map out your treatment schedule. Understand where you need to go for infusions, how long they typically last, and what to do if you miss an appointment. Arrange transportation if needed. For inpatient stays, pack essentials like comfortable clothing, toiletries, books, and anything else that might make your hospital stay more bearable.
  • Financial and Insurance Considerations: Cancer treatment can be expensive. Talk to your hospital’s financial counselor or social worker about insurance coverage, potential out-of-pocket costs, and any financial assistance programs that might be available. Having this sorted out beforehand can alleviate a lot of stress.
  • Building Your Support System: You don’t have to go through this alone! Lean on family, friends, or support groups. Let people know how they can help, whether it’s with practical tasks like meals and errands or just providing emotional support. Sometimes, just having someone to listen can be a lifesaver.
  • Diet and Nutrition: Discuss your diet with your doctor or a registered dietitian. Good nutrition is vital for maintaining strength and helping your body cope with treatment. They can provide guidance on what to eat, especially if you’re experiencing nausea or appetite changes.
  • Mental and Emotional Preparedness: It’s completely normal to feel anxious, scared, or overwhelmed. Talk about your feelings with loved ones, a therapist, or a counselor. Mindfulness techniques, meditation, or gentle yoga can also be beneficial. Focusing on what you can control can be empowering.
  • Home Preparations: If you’re undergoing outpatient treatment, make sure your home environment is comfortable and conducive to rest. Stock up on groceries, medications, and any comfort items you might need. Prepare some easy-to-make meals in advance.

Being prepared isn’t just about the medical side of things; it’s about taking care of your whole self. By addressing these aspects before your chemotherapy for AML begins, you’re setting yourself up for a smoother treatment experience. It’s about taking control where you can and building a strong foundation of support and knowledge.

The Future of AML Chemotherapy

Looking ahead, the landscape of chemotherapy for AML is constantly evolving, and it’s a really exciting time for research and treatment. While traditional chemotherapy remains a cornerstone, doctors and scientists are continuously working to make treatments more effective, less toxic, and more personalized.

One of the most significant advancements is the development of targeted therapies . These drugs are designed to specifically attack certain molecules on or inside cancer cells that help them survive and grow. For AML, targeted therapies often work by inhibiting specific proteins that are mutated or overactive in the leukemia cells. Examples include FLT3 inhibitors for patients with FLT3 mutations, or IDH inhibitors for those with IDH1 or IDH2 mutations. These targeted drugs can often be used alongside or even instead of traditional chemotherapy, offering new hope and potentially fewer side effects for certain patient groups.

Another area of exciting progress is immunotherapy . This approach harnesses the power of the patient’s own immune system to fight cancer. While still an emerging field for AML compared to some other cancers, CAR T-cell therapy and monoclonal antibodies are showing promise. CAR T-cell therapy involves genetically modifying a patient’s T-cells to recognize and attack leukemia cells. Monoclonal antibodies can be used to ‘flag’ leukemia cells, marking them for destruction by the immune system or delivering a toxic payload directly to the cancer cell.

Minimally intensive chemotherapy regimens are also being developed, particularly for older adults or those with other health conditions who may not tolerate intensive treatments. These approaches aim to achieve good outcomes with reduced toxicity.

Furthermore, there’s a growing emphasis on precision medicine . This means tailoring treatments based on the specific genetic makeup of an individual’s leukemia. By analyzing the DNA of the cancer cells, doctors can identify specific mutations and choose the most effective drugs for that particular patient. This personalized approach promises to improve treatment success rates and minimize the impact of side effects.

Finally, research continues into improving supportive care during chemotherapy for AML . This includes developing better ways to prevent and manage infections, nausea, and other treatment-related toxicities, ultimately improving patients’ quality of life throughout their treatment journey. The future of AML treatment looks brighter than ever, with a multi-pronged approach combining the best of chemotherapy, targeted therapy, immunotherapy, and personalized medicine.

Dealing with Acute Myeloid Leukemia is undoubtedly a challenging experience, but understanding the role and intricacies of chemotherapy for AML is a vital part of the journey. From how it works at a cellular level to managing side effects and looking towards future innovations, knowledge empowers patients and their loved ones. Remember, you’re not alone, and your healthcare team is your greatest ally. Stay informed, stay hopeful, and keep fighting! This is a marathon, not a sprint, and every step forward is a victory.